台灣海域銀濃度高 毒害鯨豚免疫能力
撰文 / 林雅容
![]() 鯨豚擱淺帶來關於海洋的訊息,大海裡究竟發生了什麼事呢?
|
火車沿著東岸湛藍的海岸線奔馳,夏日豔陽下的大海,無風無浪,
我回頭再次望向平穩的大海,海面看似清澄如鏡, 但海面下究竟發生什麼事呢?有哪些肉眼見不到的事物, 正波濤洶湧地反應、發生呢?
台灣海域的銀濃度 世界第二高
「那隻弗氏海豚肝裡頭的銀含量高達700 ppm。」文達說,「國際上其他國家針對鯨豚體內銀濃度的調查, 一般都在10 ppm以下,但那隻擱淺在台灣的弗氏海豚,卻高達了700 ppm。」
講起話來條理分明、鏗鏘有力的文達, 目前就讀台灣大學獸醫研究所博士班,也是鯨豚協會的兼職獸醫, 長期協助擱淺鯨豚的解剖、復健等工作。去年, 高雄中山大學海洋科學系陳孟仙教授, 在擱淺鯨豚組織的重金屬污染調查中, 從一隻弗氏海豚的肝臟測到高達700 ppm的銀,於是由台灣大學、嘉義大學、 中山大學和中興大學所組成的研究團隊, 開始針對奈米銀如何影響鯨豚生理展開研究。
![]() 台灣擱淺鯨豚身上的銀濃度,高達世界第二。
|
自古以來,人們就發現銀具有廣泛殺菌的作用, 因此古時皇帝的菜餚會以銀針試毒, 古羅馬時代也盛行以銀器裝盛食物,避免腐敗。近年來, 由於奈米科技的發展,奈米銀更成為最貼近人們生活的重金屬, 廣泛添加在尿布、衛生棉、油漆、洗衣機、消毒產品內, 來達到抗菌殺菌的功效。所謂的奈米化, 就是將銀顆粒縮小到直徑100奈米以下, 這個尺寸遠比人類的紅血球還小, 差不多和可以進入人體細胞的病毒一樣大。當體積縮小, 表面積變大,反應活性增加, 也就是奈米銀之所以有強大殺菌功能的原因。
然而,水能載舟,亦能覆舟,奈米銀既然有強大的殺菌功能, 同樣也存在著傷害細胞的可能。
海中的銀降低鯨豚免疫力
「我們進行了兩個方向的實驗,一是實驗室裡的細胞供毒實驗, 二是檢測擱淺鯨豚身上的銀濃度。」文達說明。
細胞供毒實驗的步驟很簡單, 就是將圈養海豚定期健康檢查所抽出的血樣,暴露在奈米銀下, 再觀察海豚血液細胞的變化。結果發現,奈米銀除了具有細胞毒性, 會引起細胞死亡之外, 還會抑制白血球分裂增殖與吞噬病原體的能力, 等於是抑制免疫反應。
擱淺鯨豚體內銀濃度的檢測, 樣本則來自於棲地與食性皆互異的七種共110隻鯨豚, 包括糙齒海豚、瓶鼻海豚等台灣常見擱淺鯨豚。結果指出, 台灣海域的鯨豚在肝與腎所累積的銀濃度約10~20 ppm,是全球第二高,僅次於北極海白鯨體內所測出的80~90 ppm(北極海是早期北美五大湖工業區大部分污水排放的終點)。
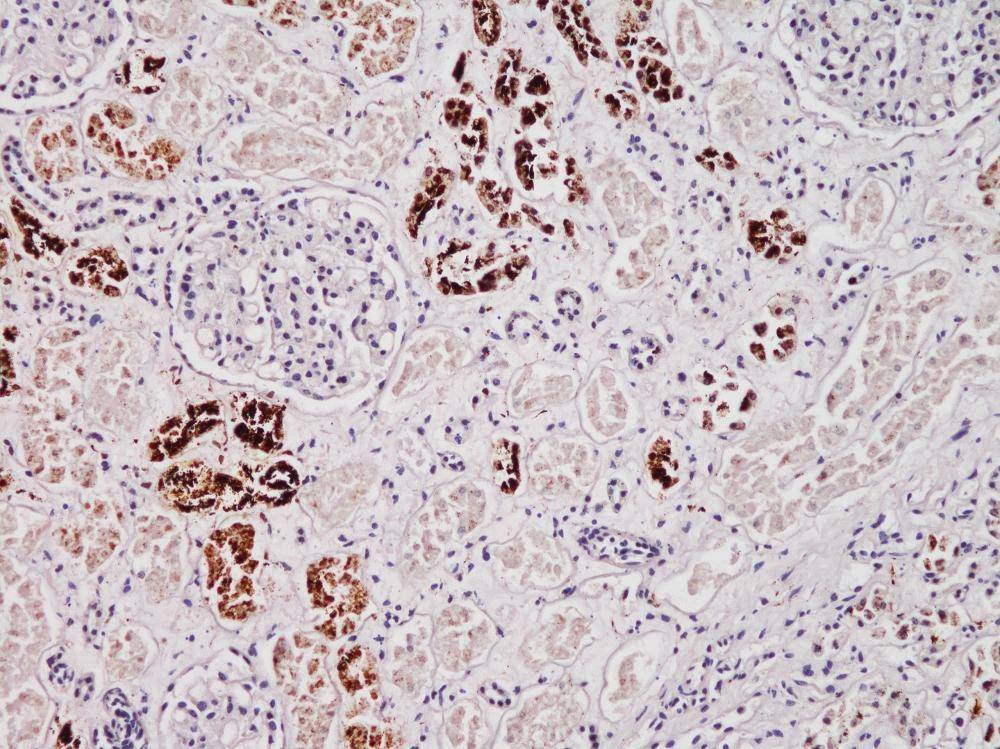
![]() 鯨豚的白血球在特殊染色下,標示出進入細胞的銀。
(李文達提供) |
![]() 在鯨豚的腎臟組織可以偵測到銀。(李文達提供)
|
「肝和腎是處理毒物的器官,所以可見銀的累積。 但因為銀可被代謝,因此一般而言被認為是沒有毒性的。」 文達解釋道,「然而,當解剖這些銀濃度偏高的鯨豚後卻發現, 雖然沒有發現特定器官的病變,但全身病變的狀況卻是增加的。」
大自然裡的重金屬, 可被分為動物生理運作上的必要金屬如造血的鐵和許多酶含有的銅, 和非必要金屬;非必要金屬又分為毒性金屬如鎘、 砷和非毒性金屬像金、銀。毒性金屬會造成特定器官的病變, 例如鎘中毒會傷腎,砷中毒則傷肝。
屬於非毒性金屬的銀普遍被認為不具毒性,不會造成特定器官病變, 但在擱淺鯨豚身上,卻發現廣泛性的全身病變。
「因此,細胞供毒實驗和擱淺鯨豚的解剖結果是相符合的。 我們可以合理推測,由於銀削弱了鯨豚的免疫力, 即使銀對於特定器官沒有毒性,卻降低了鯨豚對抗病原體的能力, 導致全身病變的增加。」文達總結說。
奈米銀的使用應該更為審慎
![]() 鯨豚是哨兵動物,警告著我們環境上的變異。
|
目前,人類醫學的領域提出以奈米銀作為癌症的輔助治療之一, 雖然人醫在奈米銀與人體健康關係的研究上顯示並無顯著影響, 但卻與鯨豚的研究結果相衝突。藥物是雙面刃, 在使用奈米銀對抗癌細胞的同時, 可能也會削弱治療癌症同樣重要的免疫力,文達認為, 應該更審慎地考慮使用。
奈米銀在環境上的汙染影響更為深遠。銀污染經由地表水排入大海, 在透過層層的食物鏈累積在海洋最高掠食者鯨豚身上。 而人和鯨豚同樣屬於哺乳動物,且皆為高階掠食者, 環境中銀污染對於鯨豚的威脅,有朝一日同樣也會顯現在人類身上。
「鯨豚累積從陸地沖刷到海裡的污染物,可說是生態中的哨兵動物, 是污染的第一個受害者。」文達說,「 銀污染在鯨豚身上所顯現的影響,對人類來說其實是警訊,十年後, 人類所暴露的污染濃度,可能將和現在的海豚一樣。」
上述成果,僅僅是奈米銀生態毒性的初步探討,接下來, 文達將更進一步研究奈米銀削弱鯨豚免疫系統的機制, 以及調查奈米銀引起的免疫失衡是否能從擱淺鯨豚身上獲得病理上的 證據。我們對於奈米銀如何影響海洋與環境確實是不慎了解, 在大量、廣泛使用前應該保持更為謹慎的態度。










